HS-2700V
概要
届出番号:7動薬第3064号
動画紹介
日本製の小動物向けドプラ超音波診断装置
-
12.1型高解像液晶。
- 日本語メニュー
-
シンプルで操作のしやすいなキーボード設計。
-
H-resによるシャープでスムーズな画像表示。
-
大きめのキャスター採用で、女性でも容易に移動可能。
超音波画像
超音波診断画像
本多独自の画像処理技術
H-res
先進の画像処理技術を搭載。観察の目的に最適な設定を簡単な操作で実現します。
深部描写に適した設定、浅部の繊細な描写に合わせた設定、コントラストを抑えた設定などを選択できます。
胆嚢、肝臓(犬)
膀胱(犬)
腎臓 (犬)
ドプラモード
HS-2700VはCFM(カラーフローマッピング)とPD(パワードプラ)、PW(バルスドプラ)3種類のドプラ機能を持っております。
CFM(カラーフローマッピング)
HLS-575M
PD(パワードプラ)
プローブ:HCS-436MSC
PW(パルスドプラ)
プローブ:HLS-575M
PWモードではドプラ音を確認することができます。
プリセット登録
お気に入りの設定を簡単に登録、呼び出しができます。
ボディマーク
豊富なボディマークを備え、診断部位をわかりやすく保存可能です。
※画像は一例です。
データ保存
USBメモリによるデータ保存
静止画、動画とも外部USBメモリに保存ができ、パソコンでも閲覧が可能です。
本体メモリには最大約200枚の画像が保存できます。
カタログ
仕様
| 走査方式 | リニア/コンベックス電子走査方式 |
| 表示モード | Bモード, B/Bモード, B/Zモード, B/Mモード, Mモード |
| レンジ 3.5MHz 5MHz以上 |
0-2cm ~ 0-24cm (1cm ステップ) |
| ビームフォーカス方式 | フルデジタル方式 送信4段フォーカス 受信ダイナミックフォーカス |
| 定格超音波周波数 | 2.8〜10.0MHz(プローブ周波数に対応) |
| 表示モニタ | 12.1型カラー液晶 広視野角(水平:170° 垂直:170°) |
| 画像表示 | 上下反転、左右反転 |
| イメージ調整 |
Bゲイン, Mゲイン:36〜100dB 1dB ステップ Resolution,Penetration, Clarity,Boundary, Anatomy |
| ドプラ | CFM (カラーフローマッピング), PD(パワードプラ), PW(パルスドプラ) |
| シネメモリ | 255 フレーム |
| 計測機能 |
距離、面積・周囲長、体積、Tendon%、ヒストグラム |
| キャラクター表示 | 病院名(40字)、患者名(30字)、ID(26字)、年齢、日付、時刻、プローブ名、 レンジ、ゲイン、音響パワー、周波数、ダイナミックレンジ、H-res、フォーカス情報、ドプラゲイン、 スピードレンジ |
| プローブコネクタ | x2 (キーボードで選択) |
| 外形寸法 | 約500mm(幅)x1,200mm(高さ)x480mm(奥行) |
| 質量 | 約20kg |
| 電源 | 100V〜240V AC 50/60Hz |
| データ保存 | 静止画(JPEG) 内部 200枚 (最大) / 外部 USB メモリ 静止画(DICOM) 外部 USB メモリ 動画(AVI) 内部10本(最大)/外部 USB メモリ |
| 外部入出力 | USB メモリーポート x 1 外部ビデオ出力 x 1 フットスイッチ入力 x 1 プリンタ制御出力 x 1 |
| プローブ |
リニアプローブ コンベックスプローブ マイクロコンベックスプローブ |
| 付属品 | ACアダプタ、電源コード、超音波ゲル、取扱説明書 |
プローブ
マイクロコンベックスプローブ
| 型名 | HCS-572M |
| 周波数 | 9.0/7.5/5.0MHz |
| 半径(センサ部) | 20R |
| ケーブル長 | 2m |
リニアプローブ
| 型名 | HLS-575M |
| 周波数 | 10.0/7.5/5.0MHz |
| 幅(センサ部) | 50mm |
| ケーブル長 | 2.2m |
コンベックスプローブ
| 型名 | HCS-436M |
| 周波数 | 5.0/3.5/2.8MHz |
| 半径(センサ部) | 60R |
| ケーブル長 | 2m |
| 型名 |
HCS-436MSC ※単結晶プローブ |
| 周波数 | 5.0/3.5/2.8MHz |
| 半径(センサ部) | 60R |
| ケーブル長 | 2m |
ギャラリー
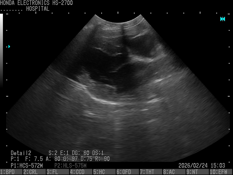
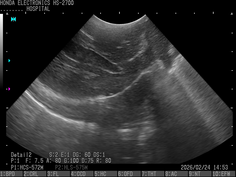
1.胆嚢、肝臓(パピヨン・10歳)
プローブ:HCS-572M
H-res:Detail2
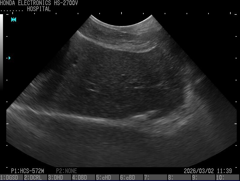
2.膀胱(中型犬)
プローブ:HCS-572M
H-res:Detail2
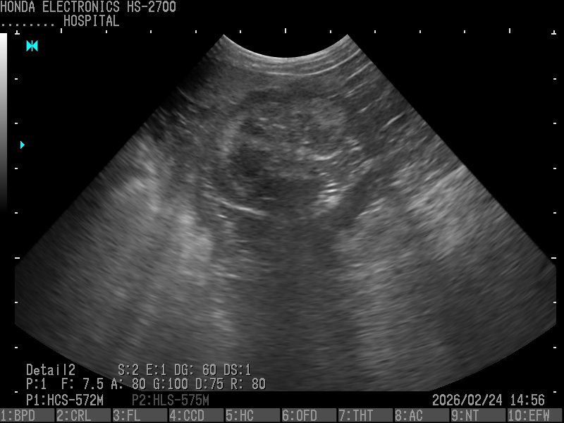
3.腎臓(パピヨン・10歳)
プローブ:HCS-572M
H-res:Detail2
4.腎臓(パピヨン・10歳)
プローブ:HCS-572M
H-res:Detail2
3.心臓(パピヨン・10歳)
プローブ:HCS-572M
H-res:Detail2



