HS-2700
概要
日本製のドプラ超音波診断装置
12.1型高解像液晶。
シンプルで操作のしやすいなキーボード設計。
H-resによるシャープでスムーズな画像表示。
大きめのキャスター採用で、女性でも容易に移動可能。
薬事認証番号:301AHBZX00015000
汎用超音波画像診断装置JMDNコード:40761000
超音波画像
超音波診断画像
本多独自の画像処理技術 H-res
先進の画像処理技術を搭載。観察の目的に最適な設定を簡単な操作で実現します。
深部描写に適した設定、浅部の繊細な描写に合わせた設定、コントラストを抑えた設定などを選択できます。
腎臓
腎臓
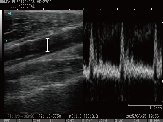
ドプラモード
HS-2700はCFM(カラーフローマッピング)、PD(パワードプラ)、PW(パルスウェーブドプラ)3種類のドプラ機能を持っております。
CFM(カラーフローマッピング)
プローブ:HLS-575M
PD(パワードプラ)
プローブ:HCS-436MSC
PW(パルスウェイブドプラ)
プローブ:HLS-575M
プリセット登録
お気に入りの設定を簡単に登録、呼び出しができます。
ボディマーク
豊富なボディマークを備え、診断部位をわかりやすく保存可能です。
※画像は一例です。
データ保存
USBメモリによるデータ保存
静止画、動画とも外部USBメモリに保存ができ、パソコンでも閲覧が可能です。
本体メモリには最大約100枚の画像が保存できます。
カタログ
※カタログに記載された仕様及び外観は予告なく変更されることがあります。
仕様
| 走査方法 | リニア/コンベックス電子走査方式 |
| 表示モード | Bモード、B/Bモード、B/Zモード、B/Mモード、Mモード |
| レンジ 3.5MHz 5MHz以上 |
0-2cm~0-24cm (1cmステップ) 0-2cm~0-16cm (1cmステップ) |
| ビームフォーカス方式 |
フルデジタル方式 |
| 定格超音波周波数 | 2.8~10.0MHz(プローブ周波数に対応) |
| 表示モニタ |
12.1型カラー液晶 |
| 画像表示 | 上下反転、左右反転 |
| イメージ調整 |
Bゲイン、Mゲイン: 36〜100dB 1dB ステップ |
| ドプラ | CFM(カラーフローマッピング)、 PD(パワードプラ)、PW(パルスドプラ) |
| シネメモリ | 255 フレーム |
| 計測機能 | 距離、面積、周囲長、体積、股関節角度、ヒストグラム 妊娠週数計算、胎児体重推定、速度、心拍数、LV計測 |
| キャラクター表示 | 病院名(40字)、患者名(30字)、ID(26字)、年齢、日付、時刻、プローブ名、レンジ、ゲイン、音響パワー、周波数、ダイナミックレンジ、H-res、フォーカス情報、ドプラゲイン、スピードレンジ、MI,TI |
| プローブコネクタ | x2 (キーボードで選択) |
| 外形寸法 | 約500mm(幅)× 1200mm(高さ)×480mm(奥行) |
| 質量 | 約20kg |
| 電源 | 100V~240V AC 50/60Hz |
| データ保存 | 静止画(JPEG) :内部200枚(最大)/ 外部USBメモリ 静止画(DICOM) : 外部USBメモリ 動画(AVI) :内部10本(最大)/外部USBメモリ |
| 外部入出力 | USB メモリーポート x 1 外部ビデオ出力 x 1 フットスイッチ入力 x 1 プリンタ制御出力 x 1 |
| プローブ |
リニアプローブ |
| 付属品 |
ACアダプタ、電源コード、超音波ゲル、取扱説明書 |
プローブ
コンベックスプローブ
| 型名 | HCS-436M |
| 周波数 | 5.0/3.5/2.8MHz |
| 半径(センサ部) | 60R |
| ケーブル長 | 2m |
| 型名 |
HCS-436MSC ※単結晶プローブ |
| 周波数 | 5.0/3.5/2.8MHz |
| 半径(センサ部) | 60R |
| ケーブル長 | 2m |
リニアプローブ
| 型名 | HLS-575M |
| 周波数 | 10.0/7.5/5.0MHz |
| 幅(センサ部) | 50mm |
| ケーブル長 | 2.2m |
経膣用プローブ
| 型名 | HCS-4710MV |
| 周波数 | 9.0/7.5/5.0MHz |
| 半径(センサ部) | 10R |
| ケーブル長 | 2m |



